[技术前沿]磁体升级助力fMRI探测神经元簇
下一代fMRI的分辨率可提高10倍。
神经科学正在向高清晰度发展。
研究人员实现了一系列技术改进,极大地提高了功能性磁共振成像仪器(fMRI)的空间分辨率。得益于这种技术进展,fMRI成像体素(3D像素)的每边长不到0.5毫米。这些精细粒度的体素突破了人脑结构的一个相对重要的阈值,可大致达到神经元功能簇的级别。
研究人员将这种成像仪称为NexGen 7T,其配有一个7特斯拉磁体,分辨率比以前的7T fMRI机器提高了10倍。研究人员表示,扫描仪的精细级别可以解释很多情况,例如,一些大脑区域的广泛功能性组织和其他区域不同层神经元活动的情况。

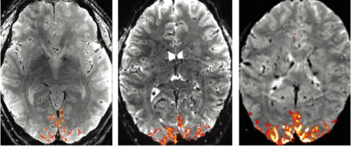
NexGen 7T fMR(左)内有一个7特斯拉超导电磁铁。该机器的分辨率高于标准的3T医院扫描仪右)和传统7T成像仪(中)
“我们知道,如果提高了主要系统的性能,就会得到累积性的改善,每个子系统都会影响不同的重要参数。”研究的合作者、加州大学伯克利分校和Advanced MRI Technologies公司的神经科学家大卫•法因贝格(David Feinberg)说。
fMRI的工作原理是通过产生底层磁场来影响大脑中分子的方向。如果一个磁场被设置为可预测的模式,就可施加第二磁场,快速振荡磁场方向,区分人脑组织的密度或类型。人们开发了各种技术,可使用血流或血氧水平作为大脑活动的指标。
法因贝格说,NexGen 7T包括一个新的梯度线圈,它设置了底层磁场的模式。研究合作者、加州大学旧金山分校的放射学家安•T. 乌(An T. Vu)表示,该线圈可能是新元件中最新颖的设计,其中增加了第三层绕组和重新设计的冷却系统。控制第二磁场的发射系统和射频接收阵列都进行了扩展,分别达到16至128通道,这至少是普通研究型MRI扫描仪的2倍。不过,这些改变带来了与数据采集、传输和编码有关的新挑战。
“当有128个接收器时,数据量会呈指数级增长。”乌说,“实际上,数据存储和计算资源也需要跟上。”
其总体效果是空间分辨率达到了广泛使用的fMRI仪器的50多倍,超过其他7T fMRI一个数量级。在某些情况下,体素从约1微升(1立方毫米)缩小到不到0.1微升,相当于较粗的沙子大小。
荷兰斯宾诺莎神经成像中心主任塞尔日•迪穆兰(Serge Dumoulin)表示,该扫描仪能够提供更高分辨率的功能性大脑图像,包括大脑皮层在内的大脑上部区域。该设备还可以帮助揭示大脑其他区域的详细结构,如脑干和小脑,他说,这些区域“通常超出了传统神经成像的视野”。
法因贝格说,该团队选择使用7T fMRI,部分原因是为了在技术要求和大功率实验MRI仪器的可用性之间取得平衡。虽然强磁场可以增加实现高清晰度图像的可能性,但也会增加成像仪内的人员被射频灼伤的潜在危险。法因贝格说,尽管到目前为止,(加州大学伯克利分校)只制造了一台NexGen扫描仪,但理论上,全球可运行的约100台7T fMRI扫描仪都可以改装成与NexGen相同的规格。
法因贝格说,除了fMRI之外,更高的分辨率可能对其他MRI研究应用也有益,例如功能连通和大脑新陈代谢等相关研究。研究人员也考虑了最终的医学用途。“虽然它是为基础研究而设计的,但如果有前景且有益,我们可以立即将其转化为临床实验。”他说。
研究人员在《自然•方法》杂志上介绍了这项新的扫描仪技术。
作者:Greg Uyeno










关注微博
关注微信
关注公众号
关注抖音号